Khoảng 50 triệu chứng hậu COVID: thở gấp, ho, nhức đầu, trầm cảm, và gì nữa?
Nghiên cứu của Sandra Lopez‑Leon và cộng sự từ 21 phân tích gộp trên gần 48.000 bệnh nhân (17-87 tuổi) ghi nhận có đến 55 triệu chứng tồn tại lâu dài sau khi hồi phục COVID-19 cấp.

Đa cơ quan đều bị tác động sau khi mắc COVID-19

Biểu hiện đa cơ quan của hội chứng hậu COVID và tần suất mắc của từng triệu chứng (Sandra Lopez)
Nhiều báo cáo cho thấy mệt mỏi là triệu chứng thường gặp nhất ở bệnh nhân mắc hội chứng hậu COVID, bất kể mức độ nặng của giai đoạn cấp tính, dù nhập viện hay không nhập viện. Tỉ lệ bệnh nhân bị mệt mỏi mạn tính rất khác nhau ở các báo cáo, từ 50-90%.
Phương pháp điều trị chính yếu được khuyến cáo hiện nay vẫn là tập vật lý trị liệu vận động với cường độ tăng dần theo thời gian, được thiết kế tùy khả năng từng người, tránh các hoạt động quá sức và thường bắt đầu bằng những hoạt động đơn giản nhất hằng ngày dưới sự hướng dẫn của chuyên gia vât lý trị liệu.

Triệu chứng thường gặp nhất ở bệnh nhân hậu COVID theo hệ cơ quan
Ho, khó thở, đặc biệt là khó thở khi gắng sức, giảm khả năng vận động là triệu chứng nổi bật.
Tỉ lệ bệnh nhân bị di chứng phổi hậu COVID khoảng 20-40%. Trong đó, khó thở là triệu chứng thường gặp nhất với tỉ lệ mắc lên đến 40-66%.
Các bất thường chức năng và hình ảnh học lâu dài thường gặp nhất ở những bệnh nhân bị viêm phổi nặng do COVID-19 cấp, đặc biệt những người cần thở oxy lưu lượng cao (HFNC) và thở máy.
Sự hình thành tổn thương xơ hóa ở phổi cũng xảy ra ở bệnh nhân lớn tuổi, có thời gian nằm viện dài, có bệnh phổi mạn tính và xơ hóa phổi có liên quan đến sự tăng cao nồng độ các cytokines trong máu.
Tình trạng xơ hóa này tạo điều kiện cho vi khuẩn thường trú trong phổi, từ đó tăng nguy cơ nhiễm trùng phổi sau khi khỏi COVID-19, góp thêm một nguyên nhân gây khó thở.
Để tầm soát và đánh giá khó thở, nhiều khuyến cáo theo dõi độ bão hòa oxy máu ngoại vi (SpO2) tại nhà, kiểm tra khả năng vận độngn - phù hợp với từng bệnh nhân, ví dụ như test đứng lên- ngồi xuống trong 1 phút.
Đối với những bệnh nhân khó thở kéo dài trên 12 tuần sau nhiễm trùng thì cần loại trừ các tổn thương thực thể ở phổi bằng xquang ngực thẳng, có thể cần chụp CTscan ngực độ phân giải cao và các thăm dò chức năng hô hấp.
Những chiến lược kiểm soát khó thở không dùng thuốc được công nhận bao gồm: các bài tập thở, tập hồi phục chức năng phổi, duy trì tư thế tối ưu để giảm khó thở tư thế.
Những bệnh nhân có bằng chứng xơ phổi hậu COVID được khuyến cáo điều trị như bệnh xơ phổi vô căn theo hướng dẫn của NICE. Những bệnh nhân bị đợt bùng phát của giãn phế quản hậu COVID, có thể dùng kháng sinh, kết hợp với các thủ thuật dẫn lưu đường thở để tống đàm ra ngoài.
Một số nghiên cứu ở Anh và Trung Quốc cho thấy dùng corticosteroids ở những bệnh nhân di chứng phổi hậu COVID có thể làm cải thiện đáng kể triệu chứng.
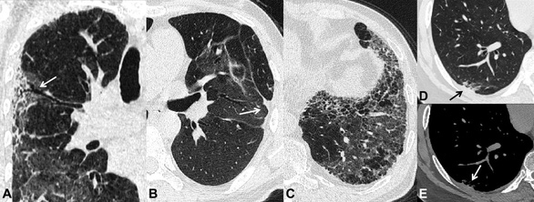
Những di chứng sau viêm phổi do SARS-COV2 được ghi nhận trên phim CTscan ngực sau 6 tháng theo dõi. A-dãn phế quản co kéo (mũi tên). B- xẹp phổi dạng đường (mũi tên). C- xơ phổi dạng tổ ong. D và E- dày màng phổi tạng (mũi tên)
Di chứng tim mạch
Nhiều nghiên cứu cho thấy những bất thường liên quan đến tim vẫn tiếp tục diễn tiến ở nhiều người mắc COVID-19 ở thời điểm 2 tháng và 6 tháng sau nhiễm với tỉ lệ lần lượt khoảng 20-60% và 5-9%. Người trẻ, vận động viên các môn thể thao đối kháng ít có nguy cơ mắc các vấn đề tim mạch hậu COVID hơn nhóm bệnh nhân khác .
Các biểu hiện đau ngực, tăng men tim kéo dài - thường được quy cho viêm cơ tim tiếp diễn từ đợt cấp; hồi hộp, mạch nhanh khi nghỉ ngơi, hội chứng nhịp nhanh tư thế đứng mới xuất hiện - do rối loạn hệ thần kinh tự trị.
Những bệnh nhân có biểu hiện tim mạch kéo dài trên 4 tuần sau nhiễm COVID-19 cần được khám lâm sàng tim mạch. Đối với những bệnh nhân có biểu hiện đau ngực, phải được tầm soát các biến cố tim mạch nguy hiểm.
Nhiều bằng chứng cho thấy viêm cơ tim hậu COVID có thể tự khỏi theo thời gian, tuy nhiên, việc dùng các biện pháp hỗ trợ miễn dịch sẽ giúp bệnh nhân nhanh hồi phục hơn.
Di chứng tâm thần kinh đa dạng
Triệu chứng thần kinh thường gặp nhất là đau đầu (bao gồm cả đau nửa đầu), được ghi nhận lên đến 40-60% số bệnh nhân. Kế đến là những than phiền về tình trạng mất mùi - vị kéo dài, lên đến 6 tháng hoặc hơn ở những người hậu COVID (tỉ lệ bệnh nhân bị mất mùi - mất vị kéo dài sau COVID-19 khoảng 10-40%).
Nhiều trường hợp bệnh lý thuyên tắc não - đột quỵ do tăng đông trong COVID-19, suy giảm nhận thức và tư duy: giảm khả năng tập trung, giảm trí nhớ, rối loạn về tiếp nhận ngôn ngữ (nghe, đọc được mà không hiểu), rối loạn hành vi (giảm khả năng kiểm soát và điều chỉnh hành vi), hay thậm chí là Alzeimer hay sảng/loạn thần.
Triệu chứng về nhận thức được than phiền nhiều nhất là "brain fog" - tạm dịch lú lẫn, hay quên - tư duy trở nên mơ hồ, lú lẫn, chậm chạp, kém nhạy bén...
Rối loạn tâm lý
Rối loạn giấc ngủ, rối loạn lo âu và trầm cảm được báo cáo nhiều nhất.
Những người già, người sống trong viện dưỡng lão, người sa sút trí tuệ dễ mắc các triệu chứng tâm lý hậu COVID nhất. Nguyên nhân của tình trạng này được quy cho các tác động tiêu cực của đại dịch như: mất người thân, bị cô lập, cách ly xã hội, mất việc/không có khả năng làm việc sinh hoạt như thường ngày mang đến nỗi lo về tài chính, sự buồn chán, cô đơn, sống trong cuộc khủng hoảng sức khỏe toàn cầu…
Việc điều trị các triệu chứng này cần được tiếp cận một cách bài bản, từ sàng lọc, đánh giá chẩn đoán đến quản lý lâu dài y như những bệnh nhân không mắc COVID-19.
Những biểu hiện ít gặp hơn
Di chứng trên da - lông - tóc
Rụng tóc là triệu chứng thường gặp nhất trong nhóm này, báo cáo lên đến 20-30% trường hợp hậu COVID. Nguyên nhân là do tổn thương nang tóc làm mất khả năng mọc tóc mới.
Ngoài ra các sang thương ở da cũng có thể gặp (15-64% ở giai đoạn cấp, 3-5% sau 6 tháng). Có 5 biểu hiện sang thương da chính trên bệnh nhân COVID-19, được mô tả ở bảng dưới.
Suy thận cấp
Tỉ lệ bệnh nhân bị tổn thương thận cấp (AKI) do COVID-19 khoảng 5%, và lên đến 30% ở bệnh nhân COVID-19 nhập ICU. Nhiều báo cáo cho thấy nhiều bệnh nhân tiến triển thành suy thận mạn sau đó, một số ít tử vong do suy thận cấp.
Ở những bệnh nhân cần lọc máu liên tục trong giai đoạn cấp do tổn thương thận cấp, chỉ có 46% sống sót sau 60 ngày. Trong số đó, chỉ có 84% hồi phục chức năng thận bình thường.
Di chứng nội tiết
Biểu hiện rối loạn nội tiết gồm: nhiễm toan cetone do tăng đường huyết trên người chưa từng chẩn đoán đái tháo đường trước đây, viêm giáp bán cấp Hashimoto và nhiễm độc giáp, bệnh Graves, hay loãng xương.
Di chứng tiêu hóa - gan mật
Tiêu chảy kéo dài do virus xảy ra ở COVID-19 đã được báo cáo. Các nghiên cứu hiện đang đánh giá hậu quả lâu dài của COVID-19 đối với hệ tiêu hóa, bao gồm hội chứng ruột kích thích sau nhiễm trùng và chứng khó tiêu, được quy cho rối loạn hệ khuẩn đường ruột...
Hội chứng viêm đa cơ quan ở trẻ em (MIS-C)
Các biểu hiện lâm sàng của MIS-C bao gồm sốt, đau bụng, nôn mửa, tiêu chảy, phát ban da, tổn thương da và niêm mạc, hạ huyết áp và tổn thương tim mạch và thần kinh.
Thời điểm xuất hiện MIS-C hầu hết bệnh nhân âm tính với nhiễm trùng cấp tính nhưng lại dương tính với kháng thể cho thấy rằng MIS-C có thể là kết quả của một phản ứng miễn dịch mắc phải thay vì nhiễm virus cấp tính.
Các khuyến cáo điều trị hiện tại bao gồm liệu pháp điều hòa miễn dịch với globulin miễn dịch tiêm tĩnh mạch, glucocorticoid bổ trợ và aspirin liều thấp. Điều trị chống đông máu bằng enoxaparin hoặc warfarin và aspirin liều thấp được khuyến cáo một số trường hợp đặc biệt...
Nguồn: tuoitre.vn


